고관절이란 골반을 지탱하는 관절로서 근육과 힘줄로 구성되어 있습니다. 학계에서는 고관절을 엉덩이 관절이라고 부르기도 하며 인체의 하중을 지탱하는 아주 주요한 관절입니다. 각별히 고관절은 우리가 정상적으로 서있거나 움직일 수 있게 만들어주고 달리기, 점프, 무거운 무게를 들 때 최대 체중의 2~10배 가량의 하중을 받기 때문에 적절한 관리가 필요해요. 오늘은 고관절에서 생기게 될 수 있는 고관절 통증 증상에 대하여 알려드릴게요.






고관절 통증 증상
고관절염은 고관절에 나타나는 관절염을 말하며 고관절의 연골이 닳게 되면서 뼈와 뼈가 서로 부딪히며 통증을 일으키게 됩니다. 고관절염 초기 증상으로는 사타구니 부위가 불편하게 느껴지며, 무리하면 통증이 생길 수 있다고 하며, 관절염 증상이 심해지면서 사타구니에서 느끼던 통증이 허벅지와 엉덩이 통증으로 이어지기도 하는데, 고관절염 통증 증상으로 초기에는 허리 통증이 나타나 허리 질환과 혼동하기 쉬우며 각별히 척추질환이 있는 사람은 고관절 통증 증상과 마찬가지로 엉덩이, 다리 통증이 동반되기 때문에 훨씬 헷갈리는 경우가 많다고 해요.
1. 고관절 통증 증상 - 계단을 오르기 힘들어 지고 양반다리가 힘들어지는경우
이 증상은 퇴행성 고관절염에 의해 발생하는 현상으로 보통은 중장년층에게 수시로 일어나는 질병입니다. 이 질병은 관절과 관절 사이에 존재하는 연골이 닳아 없어지면 관절 내부와 주위에 염증과 통증을 동반해요. 보통 골반 하단에 뻐근한 증상을 일으키고 양반다리 자세를 할 때 통증이 심해집니다.






더불어 계단을 오를 때 통증이 심해지고 오래 걷는것도 힘들어 집니다. 원인은 노화로 인한 연골 마모, 과체중, 고관절 질환을 방치하는 경우 입니다. 치료방법은 적절한 운동과 소염제를 활용하기도 하며 심할경우 수술 치료가 시행 될 수 있습니다.
2. 고관절 통증 증상 - 보행이 어려워지고 보행시 절뚝거리는 증상
보통 고관절은 중장년층에게 생기는 증상으로 잘 알려져 있지만 최근 통계에 근거하면 젊은 층의 환자들의 비중도 늘어가고 있다고 하네요.
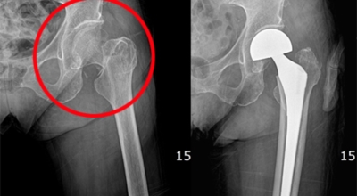
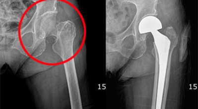
각별히 젊은 남성분들에게 잘 발생하며 엉덩이와 골반 주위에 뻐근한 통증이 동반되며 정상적인 보행이 되지 않고 절뚝거리는 증상이 나타난다면 대퇴골두 무혈성 괴사일 가능성이 있습니다. 이 증상은 괴사 부위의 골절이 발생되어 고관절 훼손으로 이어지면 생기는 증상으로 아직까지 정확한 원인은 규명하기 힘드나 과음이나 고지혈증, 스테로이드 과남용이 영향을 줄 수 있답니다.






3. 고관절 통증 증상 - 엉덩이 통증
이 경우는 허리디스크나 척추협착등의 척추질환이 동반되어 발생하는 고관절 통증입니다. 이와 같은 경우도 긴 시간 서있는 자세가 힘들어 지고 걸음걸이가 불편해 집니다. 또한 척추의 신경이 눌리면서 허벅지 또는 종아리 통증을 동반하고 골반 부위에 통증을 유발해요. 까닭으로는 오랫동안 앉아있거나 허리에 안좋은 자세를 유지할 경우에는 통풍 또는 류머티스와 같은 질병으로 인해서 발생 할 수 있습니다.
고관절 통증 증상을 방치한다면 뼈가 점차 약해져 골다공증이 생기게 될 수 있고, 고혈압이나 당뇨 과 같은 다른 질병으로 이어질 가능성이 있다고 합니다. 그리고 고관절 통증 증상이 심해져 보행하는데 어려움을 겪을 경우, 점차 허리 질환으로까지 이어져 허리 통증을 겪을 수도 있습니다.
고관절 통증 증상의 원인
1. 고관절 통증 증상 원인 - 옳지 않은 자세
요즘에는 젊은 연령층에게서도 발병하는데 그 이유는 해로운 자세가 크다고 볼 수 있답니다. 앉은 채로 컴퓨터나 스마트폰을 오래하는 일을 하는 사람들이 늘면서 육체에 이상증상을 느끼는 젊은 사람들이 더 늘고 있는데요 이러한 요인들이 젊은 연령층에게 고관절통증 을 유발시키는 큰 원인이 되고있습니다.






2. 고관절 통증 증상 원인 - 힘줄염
사람의 근육과 뼈는 많은 힘줄로 연결되어 있답니다. 몸을 움직일 때 근육이 활용되는데 이 때에 힘줄이 연결되어 있어 근육이 움직이고 뼈가 움직이는 것이 가능해요. 바로 이곳에 염증이 발생되는 것이 바로 힘줄염인데요 증상이 있다면 계속 아프고 걷는 것도 잘되지 않습니다.
3. 고관절 통증 증상 원인 - 퇴행성 관절염
나이가 들면 통상적으로 발생되는 질환 중 한 종류입니다. 관절을 지켜주며 있는 연골의 훼손이나 퇴행성 변화로 인해 관절을 이루는 뼈와 인대 등에 훼손이 생겨 염증과 통증이 나타나는 질환입니다. 고관절 쪽 연골이 닳게 되면서 망가지게 되고 또 쉽게 끊이지 않는 통증에 시달릴 수 있습니다.






4. 고관절 통증 증상 원인 - 비만
많은 양의 체중이 나가게 되면 하체의 관절에 많은 하중이 실리고 많이 들어있는 압박이 가해지게 됩니다. 그리고 지방세포들은 많은 염증을 유발하게 되는데 이러한 요인들이 엉덩이의 통증이나 고관절통증 유발을 할 수 있습니다.
5. 고관절 통증 증상 원인 - 류마티스 고관절염
류마티스 관절염은 골관절염에 이어 만성 관절염 중 두 번째로 많은 질병이며 염증성 관절염 중에서는 가장 흔한 원인 질환입니다. 어느 연령에서도 발병할 수 있지만 35~50세 사이에 가장 일반적으로 생기는이게 성격이며 남성보다는 여성의 발병률이 높습니다.
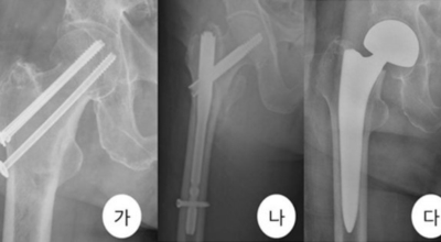
고관절 통증 증상 치료법
고관절 통증 치료에는 크게 약물 치료와 물리 치료가 있답니다. 고관절염의 진행을 늦추거나 증상을 개선하기 위한 목적으로 항염증제 또는 진통제를 투여해요. 고관절 질환의 일부 증상은 체외 쇼크파, 물리치료, 약물치료 과 같은 비수술 요법으로 증상이 호전될 수 있습니다.



그러나 비수술 치료법으로 개선시키는 것이 어려운 경우 수술적 방법이 고려되어요. 고관절 통증을 조기에 치료하면 약물치료 외에 물리치료로 약 50% 정도 큰 효과를 볼 수 있답니다. 게다가, 보통 고관절 증상 관리에 보탬이 되는 요가, 수영, 스트레칭은 고관절 예방과 치료에 보탬이 돼요.
고관절 통증 증상 예방법
예방과 치료를 위하여는 적정체중을 유지할 수 있게 해야하는데, 체중이 증가하면 엉덩이에 걸리는 부하가 증가하므로 식사와 운동을 통해 체중을 조절해야 해요. 노인의 경우 부하를 감소시키기 위해 가벼운 지팡이를 준비해서 활용하는 것도 방법이에요.
운동요법의 경우 근력 트레이닝, 스트레칭, 걷기, 수중 운동 등이 있고 운동을 하면 고관절 주변 근육을 강화시킬 수 있고, 통증을 보완하고 뼈가 변형되는 것을 방지할 수 있어요. 걷기 운동을 할 경우, 딱딱한 아스팔트가 아닌 푹신1잔디나 흙 위에서 하는 편이 좋아요.
고관절 건강을 지키기 위하여는 무엇보다 과한 음주를 피해야 해요. 이와 함께 의자에 앉을 때 흔히 하는 다리를 꼬고 앉는 동작도 피하는 것이 좋을겁니다. 이 자세는 고관절이 과도하게 굴곡 되고, 안으로 모이면서 회전달해주는 자세로 비구순이나 연골 파열을 부를 수 있답니다. 또 양 무릎을 붙인 채 바닥에 쪼그리고 앉는 자세나 무거운 물건을 들 때 혼자서 드는 것도 피하는 편이 좋아요.
고관절 통증 증상에 관해 전해드렸습니다. 도움이 되셨기를 바랄게요. 오늘도 행복하고 즐거운 하루 보내세요.
류마티스 관절염 초기증상 및 원인
류마티스 관절염은 어느 순간 손가락 관절과 마디, 그리고 무릎에 통증이 오고 붓는 증상이 발생될 수 있어요. 만일 이러한 상태에서 심각한 통증까지 나타난다면 류마티스 관절염을 의심해볼
heelloo.vinachillan.com
콩나물국 맛있게 끓이는 법 이것 꼭 체크하세요!
오늘 얘기 해 볼 것은 콩나물국 맛있게 끓이는 법에 대한 것인데요, 요즘 시원한 콩나물국 찾는 분 많으시죠. 하단에서 자세한 내용 살펴보도록 하겠습니다. 콩나물 대두를 발아시켜 뿌리를 자
heelloo.vinachillan.com